 |
|
Abcam 助您在GBM研究中一次到位 & 「ELISA便利貼贈送活動」倒數中
GBM研究三大工具組合: IHC 重組抗體・細胞類型抗體・SimpleStep ELISA一次備齊
|
膠質母細胞瘤(Glioblastoma,GBM)是最常見、惡性程度最高的原發性腦膠質瘤(WHO grade IV),不僅侵入性強、預後能力差,且腫瘤具有高度異質性(Heterogeneity)。不僅在腫瘤內部呈現多樣化的分子特徵,如 EGFR 放大、 PTEN 缺失及 p53 突變,同時還涉及多條關鍵訊號傳導途徑,包括 EGFR、VEGF、PI3K/Akt/mTOR、MAPK、Wnt 及 NF-κB 等。這些複雜的交互作用,使 GBM 的發病機制與治療研究面臨極大挑戰。
讓您的研究不用再東拼西湊!
Abcam 精心挑選並嚴格驗證的抗體與檢測產品組合,涵蓋GBM主要訊息傳導路徑中90%以上的重要標的。
▲ 經 IHC 驗證的重組抗體
精選超過350種重組抗體,皆於內部以多重免疫組織化學(mIHC)嚴格驗證,搭配 Opal™ (Akoya Biosciences) 檢測試劑盒與 BOND™ RX(Leica®) 平台,涵蓋多項膠質母細胞瘤關鍵標的,讓您快速又輕鬆地打造專屬實驗。
Anti-EGFRvIII antibody [ab313646]
- 已在多種正常組織與膠質瘤組織芯片(TMA)上經過加強驗證,確保檢測結果的可靠性
- 通過多重顯色檢測(multiplex chromogenic assay)驗證,提供更高靈敏度與專一性
- 提供無載體(carrier-free)與共軛(conjugated)等模式,靈活滿足不同實驗需求
|
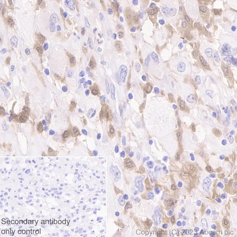
圖1、人類膠質母細胞瘤與胎盤組織之免疫化學染色(Immunohistochemistry, IHC)
使用抗EFGRvlll重組單株抗體(ab313646)及抗EFGR單株抗體(ab52894),以2.5 µg/ml與0.5 µg/ml之濃度進行染色分析;以蘇木精(Hematoxylin)進行核染色。
|
Anti-EGFRvIII antibody [ab230949]
- 經基因剔除(Knock-out)驗證,確保專一性
- 已於膠質母細胞瘤組織中經 IHC 驗證,可靠度高
- 提供無載體(carrier-free)與共軛(conjugated)等模式,靈活滿足不同實驗需求
|
圖2、人類膠質母細胞組織之免疫化學染色(Immunohistochemistry, IHC)
使用抗IDH1重組單株抗體( ab230949 )以1/1000稀釋標記 IDH1;二級抗體為Goat Anti-Rabbit IgG H&L (HRP);以蘇木精(Hematoxylin)進行核染色。
|
熱門品項
Target |
Product Description |
Cat No. |
MGMT |
Anti-MGMT antibody [EPR4397] |
ab108630 |
C-MYC |
Anti-c-Myc antibody [Y69] - ChIP Grade |
ab32072 |
CHI3L1 |
Anti-YKL-40/CHI3L1 antibody [EPR27396-56] |
ab305035 |
BRAF |
Anti-BRAF antibody [EP152Y] |
ab33899 |
BRAF |
Anti-BRAF (mutated V600E) antibody [VE1] |
ab228461 |
VEGF Receptor 2 |
Anti-VEGF Receptor 2 antibody [SP123] |
ab115805 |
MAP2K1/MEK1 |
Anti-MEK1 antibody [E342] |
ab32091 |
PTEN |
Anti-PTEN antibody [Y184] |
ab32199 |
P53 |
Anti-p53 antibody [E26] |
ab32389 |
HER2 |
Anti-ErbB2 / HER2 antibody [EP1045Y] |
ab134182 |
CDK6 |
Anti-Cdk6 antibody [EPR4515] |
ab124821 |
CDK4 |
Anti-Cdk4 antibody [EPR4513-32-7] |
ab108357 |
OLIG2 |
Anti-Olig2 antibody [EPR2673] - BSA and Azide free |
ab220796 |
SOX2 |
Anti-SOX2 antibody [EPR3131] |
ab92494 |
SOX6 |
Anti-SOX6 antibody [EPR24986-148] |
ab314209 |
Glutamine Synthetase |
Anti-Glutamine Synthetase antibody [EPR13022(B)] |
ab176562 |
立即瀏覽 Abcam 完整的 超過12,000種經IHC驗證的重組抗體系列,其中亦包含可提供無載體(Carrier-Free)形式的產品。
▲ 細胞類型抗體
精選了針對主要細胞類型標記的最佳抗體,讓您能夠自信地鑑定神經元與膠質細胞類型。還可以分析膠質母細胞瘤腫瘤微環境(tumor microenvironment)中細胞的增殖狀態以及上皮-間質轉化(EMT)的過程。
用 Abcam 的高品質重組抗體,讓你的影像分析更有料、更精準。
熱門品項
Target |
Product Description |
Cat No. |
BrdU |
Anti-BrdU antibody [BU1/75 (ICR1)] - Proliferation Marker |
ab6326 |
Beta III tubulin |
Anti-beta III Tubulin antibody - Neuronal Marker |
ab18207 |
CD44 |
Anti-CD44 antibody [EPR1013Y] |
ab51037 |
MAP2 |
Anti-MAP2 antibody - Neuronal Marker |
ab32454 |
NSE |
Anti-NSE antibody [EPR12483] - Neuronal Marker |
ab180943 |
E-cadherin |
Anti-E Cadherin antibody [EP700Y] - Intercellular junction Marker |
ab40772 |
N-cadherin |
Anti-N Cadherin antibody [EPR1791-4] |
ab76011 |
NeuN |
Anti-NeuN antibody [EPR12763] |
ab177487 |
Iba1 |
Anti-Iba1 antibody [EPR16588] |
ab178846 |
P2Y12 |
Anti-P2Y12 antibody [EPR23511-72] |
ab254347 |
▲ SimpleStep ELISA® Kits
Abcam 推出的SimpleStep ELISA®試劑盒兼具快速與簡便,同時不影響檢測效能。單次洗滌的操作流程,僅需90分鐘即可獲得結果,實驗時長與傳統ELISA相比大為減半。選擇 Abcam ,提升實驗的靈敏度、特異性與重現性。
熱門品項
Target |
Product Description |
Cat No. |
IL-17 |
Human IL-17A ELISA Kit |
ab216167 |
CXCL10 |
Human IP-10 ELISA Kit |
ab173194 |
CHI3L1 |
Human YKL-40 ELISA kit |
ab255719 |
IL-6 |
Human IL-6 ELISA Kit |
ab178013 |
S100A8/S100A9 |
Human Calprotectin (S100A8/S100A9) ELISA Kit |
ab320045 |
GFAP |
Human GFAP ELISA Kit |
ab288175 |
若您希望取得更多膠質母細胞瘤的應用抗體,歡迎洽詢 Abcam 台灣代理伯森生技。您可透過下方連結瀏覽更多相關資訊:
號外號外!Abcam 為了感謝長期支持 Abcam ELISA Kit 產品的您,送出 ELISA 便利貼,讓你的實驗紀錄更便利、更快速!;p>
即日起至 2025年11月30日前,填寫「 Abcam 感謝回饋:ELISA 便利貼贈送 」表單,並於最下方選單選擇伯森生技,我們會將ELISA便利貼寄送至您的實驗室。數量有限,送完為止!

歡迎洽詢 Abcam 台灣代理伯森生技。您可透過下方連結瀏覽更多相關資訊:
|
 |
 |
|
|
伯森生物科技(股)公司 Blossom Biotechnologies, Inc.
網址 www.blossombio.com 客服 0800-059668
[ 📝 線上留言諮詢 ] [ ☎ 伯森業務專員聯絡資訊 ]

|